
안녕하세요 환자분들의 입장의 최선의 방법을 제시 해드리는 플란트 치과 입니다.
이때까지 많은 심미 보철 사례들을 말씀 드렸었는데요.
보철은 기능적 심미적인 요소들까지 충족이 되어야 하는 중요한 치료입니다.
" 앞니 아래쪽이 너무 보기 싫어서 이제는 보기 좋게 라도 고치고 싶어요."
환자분은 아래 치아들 배열이 보기 싫어서 크라운 씌우는 치료로는
안되는건지 내원해주셨습니다.

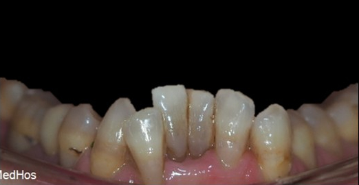
환자분의 하악 치아 구강 사진 인데요.
배열이 고르지 못한 것을 확인 할 수 있습니다.

환자분은 심미적인 목적이 강했기에 #41 31 치아는 발치를 진행 하였고
#42 32 치아는 치아가 워낙 작으셨기에 prep을 진행 하게 될경우
신경이 비칠 수 있어 미리 신경치료를 함께 진행 하였습니다.
* 크라운의 치료 과정은 치아를 PREP 하는 과정이 필요한데요.
이 과정은 치아를 깎아서 cr 씌우기전 모양을 잡는 과정 이라고 생각 하시면 됩니다.

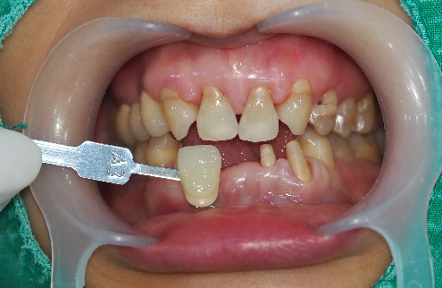
보철을 제작 하기 전에 쉐이드 가이드라는 것을 통해서 환자의 주변 치아 색상에 맞춰
제작을 진행 하게 됩니다.
최종 보철 장착 전에 pmma 라는 형태와 모양을 조절 할 수 있는 보철물을 사용해보시면서
환자분과의 충분한 상의를 통해 최종 보철을 제작 하게 됩니다.

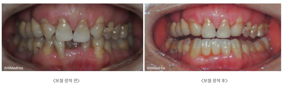
치아가 길어 보이지 않도록 아래 쪽에는 보철을 제작할때 핑크레진을 덮어 제작 하였습니다.

이렇게 최종 보철까지 완료가 되었는데요.
환자분은 너무 자연스러워서 만족 하셨고
이때까지 왜 안했는지 후회 되신다 하셨다는 말씀을 하시곤 하셨어요 : )
저희도 환자분의 미소를 찾아 드린거 같아 뿌듯합니다.
긴글 읽어 주셔서 감사드리며
언제나 환자분의 입장에서 최선의 방법을 제시하는
플란트 치과 되겠습니다.
안녕하세요 환자분들의 입장의 최선의 방법을 제시 해드리는 플란트 치과 입니다.
이때까지 많은 심미 보철 사례들을 말씀 드렸었는데요.
보철은 기능적 심미적인 요소들까지 충족이 되어야 하는 중요한 치료입니다.
" 앞니 아래쪽이 너무 보기 싫어서 이제는 보기 좋게 라도 고치고 싶어요."
환자분은 아래 치아들 배열이 보기 싫어서 크라운 씌우는 치료로는
안되는건지 내원해주셨습니다.
환자분의 하악 치아 구강 사진 인데요.
배열이 고르지 못한 것을 확인 할 수 있습니다.
환자분은 심미적인 목적이 강했기에 #41 31 치아는 발치를 진행 하였고
#42 32 치아는 치아가 워낙 작으셨기에 prep을 진행 하게 될경우
신경이 비칠 수 있어 미리 신경치료를 함께 진행 하였습니다.
* 크라운의 치료 과정은 치아를 PREP 하는 과정이 필요한데요.
이 과정은 치아를 깎아서 cr 씌우기전 모양을 잡는 과정 이라고 생각 하시면 됩니다.
보철을 제작 하기 전에 쉐이드 가이드라는 것을 통해서 환자의 주변 치아 색상에 맞춰
제작을 진행 하게 됩니다.
최종 보철 장착 전에 pmma 라는 형태와 모양을 조절 할 수 있는 보철물을 사용해보시면서
환자분과의 충분한 상의를 통해 최종 보철을 제작 하게 됩니다.
치아가 길어 보이지 않도록 아래 쪽에는 보철을 제작할때 핑크레진을 덮어 제작 하였습니다.
이렇게 최종 보철까지 완료가 되었는데요.
환자분은 너무 자연스러워서 만족 하셨고
이때까지 왜 안했는지 후회 되신다 하셨다는 말씀을 하시곤 하셨어요 : )
저희도 환자분의 미소를 찾아 드린거 같아 뿌듯합니다.
긴글 읽어 주셔서 감사드리며
언제나 환자분의 입장에서 최선의 방법을 제시하는
플란트 치과 되겠습니다.