
안녕하세요. 플란트 치과 입니다.
최근들어 갑작스러운 무더위가 지속 되고 있네요~
지치기 쉬운 만큼 잠시 몸과 마음이 휴식할 수 있는 시간을 꼭 가지시길 바랍니다.
오늘 말씀 드릴 환자분은 10년 가까이 치과에 오시지
않으시다가 내원 해주신 환자분 입니다.
치과가 쉽게 오기 힘든 곳이기는 하나 이렇게 자주 안 오시게 되면
초기에 잡을 수 있던 염증이나 충치들도 심하면 발치까지 진행될수도 있을 가능성이 큽니다
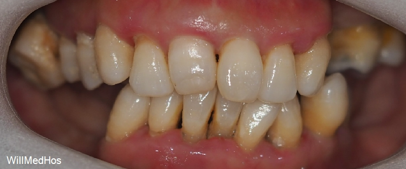
환자분의 초진 구강 사진부터 보도록 할께요.




이미 자연 발치와 치과에서 발치 진단을 받으시고 발치 후 10년 가까이 치아들을
방치 해놓으신 상태라 위의 치아들이 정출되어 내려오기도 하고 관리가 아예 안되신 상태 이셨습니다.
어금니 여러개가 오랫동안 소실 되었을때 발생 되는 문제점은?
상하악 전치부위와 소구치만으로 교합력을 견디기 어렵습니다.
왜냐하면 앞니부위와 어금니부위는 서로 상호 보완적인 관계에 있습니다.
위에 말씀 드린 부분을 상호보호교합이라고 부르는데요 .
이 교합 상태에서는 어금니가 수직 압력을 담당해 저작 시 앞니를 보호하고, 앞니는 측방(옆으로) 움직임에서 어금니를 보호하여 서로의 부담을 줄여 줍니다. 상호 보호 교합은 치아 마모와 턱관절에 가해지는 부담을 최소화하고, 안정적인 교합을 유지하는 데 중요한 역할을 합니다.
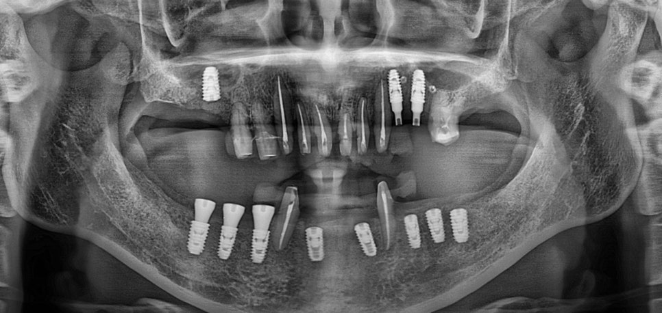
그런데 지금처럼 구치부가 모두 소실되어 교합이 무너지게 되면 전치부도 힘을 받게 되어 치조골이 소실됩니다 !!

표시된 부분들을 보시면 치아가 거의 공중에 떠있는듯한 모습과 앞니도 이런 교합 관계에 의해
노란칸을 보면 치조골이 소실 된것을 확인 할 수 있습니다.
표시된 치아 부분들에는 뼈이식을 진행 후 임플란트를 식립 하였습니다.
잇몸뼈가 없는 상태에서 임플란트를 식립하게 되면
뿌리역할을 하는 픽스쳐 (제일 밑 지대주) 가 제대로 고정이 안되서 제대로된 임플란트 식립이 불가합니다.

위의 사진은 충분한 뼈이식 진행 후 픽스쳐를 식립하였고 나머지 치아들은 크라운 씌우기 전 신경치료 진행한 모습 입니다.
수술은 나눠서 진행 하였고 뼈가 제대로 차오를때까지 2~3개월 소요 후 최종 보철 까지 마무리 하였습니다.


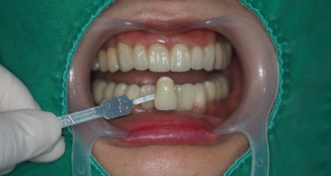
이렇게 전치부 앞쪽 치아들은 심미적인 부분과 기능적인 부분 두가지가 충족이 되어야 하기에
PMMA (수정 할 수 있는 최종 전 보철) 사용해보시면서 환자분의 주변 치아 색상과도 어우러 질 수 있도록
원하시는 모양이나 피드백들을 받아 최종적으로 제작 하게 됩니다.





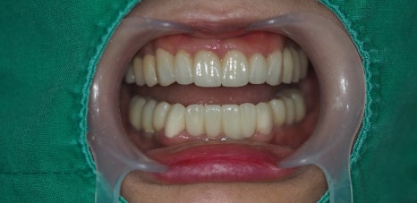
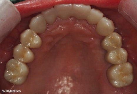
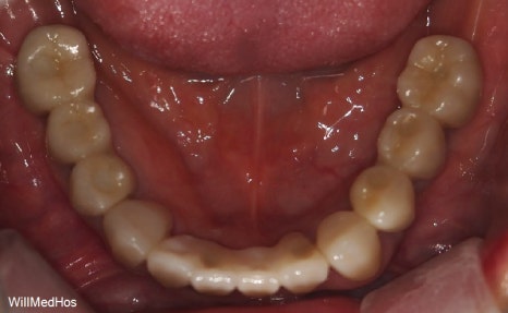
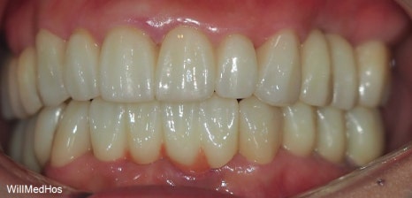
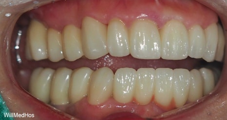
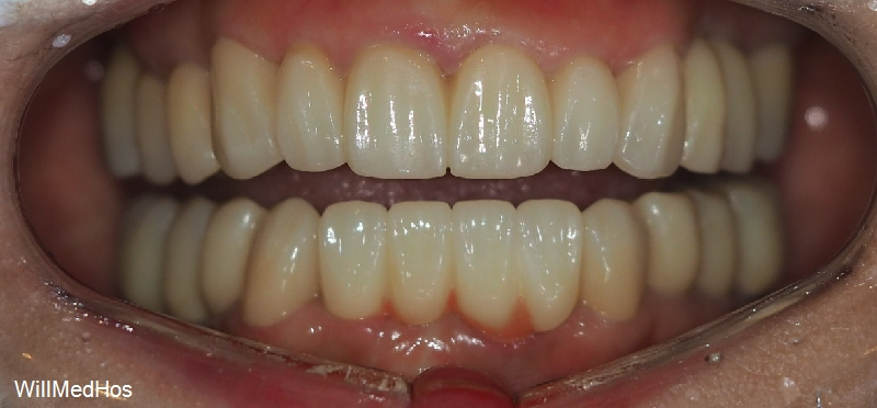
최종 치료 완료된 구강 모습입니다. 앞전의 구강 사진과 비교해보시면 자연스러운 치아의 모습이 완성된것을 확인 할수 있습니다.
전체 최종 치료 기간은 9개월 소요 되었습니다

환자분은 사람들과 많이 대면하고 이야기 해야 하는 서비스 직이라 그때마다 불편하셨는데
지금은 너무 편하게 지내고 있기도 하고 치료과정과 결과도 너무 만족 스러워 하셔서
저희가 너무 뿌듯할 따름입니다.
치료할께 많아서, 치료가 무서워서 , 치과오기 두려우시더라도 치과는 정기적으로 내원하여
어떤 치료가 필요한지 체크 해보며 관리 해주셔야 합니다.
언제나 환자분들의 입장에서 최선의 방법을 제시 해드리는 플란트 되도록 하겠습니다.
긴글 읽어 주셔서 감사합니다.
안녕하세요. 플란트 치과 입니다.
최근들어 갑작스러운 무더위가 지속 되고 있네요~
지치기 쉬운 만큼 잠시 몸과 마음이 휴식할 수 있는 시간을 꼭 가지시길 바랍니다.
오늘 말씀 드릴 환자분은 10년 가까이 치과에 오시지
않으시다가 내원 해주신 환자분 입니다.
치과가 쉽게 오기 힘든 곳이기는 하나 이렇게 자주 안 오시게 되면
초기에 잡을 수 있던 염증이나 충치들도 심하면 발치까지 진행될수도 있을 가능성이 큽니다
환자분의 초진 구강 사진부터 보도록 할께요.
이미 자연 발치와 치과에서 발치 진단을 받으시고 발치 후 10년 가까이 치아들을
방치 해놓으신 상태라 위의 치아들이 정출되어 내려오기도 하고 관리가 아예 안되신 상태 이셨습니다.
어금니 여러개가 오랫동안 소실 되었을때 발생 되는 문제점은?
상하악 전치부위와 소구치만으로 교합력을 견디기 어렵습니다.
왜냐하면 앞니부위와 어금니부위는 서로 상호 보완적인 관계에 있습니다.
위에 말씀 드린 부분을 상호보호교합이라고 부르는데요 .
이 교합 상태에서는 어금니가 수직 압력을 담당해 저작 시 앞니를 보호하고, 앞니는 측방(옆으로) 움직임에서 어금니를 보호하여 서로의 부담을 줄여 줍니다. 상호 보호 교합은 치아 마모와 턱관절에 가해지는 부담을 최소화하고, 안정적인 교합을 유지하는 데 중요한 역할을 합니다.
그런데 지금처럼 구치부가 모두 소실되어 교합이 무너지게 되면 전치부도 힘을 받게 되어 치조골이 소실됩니다 !!
표시된 부분들을 보시면 치아가 거의 공중에 떠있는듯한 모습과 앞니도 이런 교합 관계에 의해
노란칸을 보면 치조골이 소실 된것을 확인 할 수 있습니다.
표시된 치아 부분들에는 뼈이식을 진행 후 임플란트를 식립 하였습니다.
잇몸뼈가 없는 상태에서 임플란트를 식립하게 되면
뿌리역할을 하는 픽스쳐 (제일 밑 지대주) 가 제대로 고정이 안되서 제대로된 임플란트 식립이 불가합니다.
위의 사진은 충분한 뼈이식 진행 후 픽스쳐를 식립하였고 나머지 치아들은 크라운 씌우기 전 신경치료 진행한 모습 입니다.
수술은 나눠서 진행 하였고 뼈가 제대로 차오를때까지 2~3개월 소요 후 최종 보철 까지 마무리 하였습니다.
이렇게 전치부 앞쪽 치아들은 심미적인 부분과 기능적인 부분 두가지가 충족이 되어야 하기에
PMMA (수정 할 수 있는 최종 전 보철) 사용해보시면서 환자분의 주변 치아 색상과도 어우러 질 수 있도록
원하시는 모양이나 피드백들을 받아 최종적으로 제작 하게 됩니다.
최종 치료 완료된 구강 모습입니다. 앞전의 구강 사진과 비교해보시면 자연스러운 치아의 모습이 완성된것을 확인 할수 있습니다.
전체 최종 치료 기간은 9개월 소요 되었습니다
환자분은 사람들과 많이 대면하고 이야기 해야 하는 서비스 직이라 그때마다 불편하셨는데
지금은 너무 편하게 지내고 있기도 하고 치료과정과 결과도 너무 만족 스러워 하셔서
저희가 너무 뿌듯할 따름입니다.
치료할께 많아서, 치료가 무서워서 , 치과오기 두려우시더라도 치과는 정기적으로 내원하여
어떤 치료가 필요한지 체크 해보며 관리 해주셔야 합니다.
언제나 환자분들의 입장에서 최선의 방법을 제시 해드리는 플란트 되도록 하겠습니다.
긴글 읽어 주셔서 감사합니다.