
안녕하세요 플란트 치과 입니다.
청소년기 이후로 치과를 한번도 가본적 없으시다가 처음으로 내원 해주셨는데요
처음 치과를 내원 해주시는 환자분들이 생각보다 많이 계십니다.
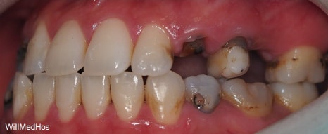
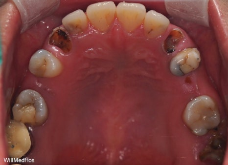
치과를 처음 내원 하시는 만큼 치아 상태가 좋지 않을것으로 예상이 됩니다.
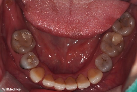
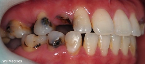
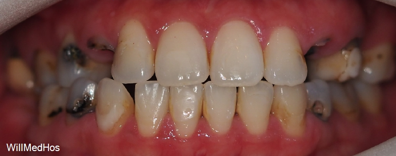
먼저 구강 사진 부터 보도록 하겠습니다.

이미 충치들과 염증으로 인해 치관을 다 없어지고 잔존 뿌리들만 겨우 남아있는 상태들의 치아들
염증으로 인하여 살리기 힘든 치아들도 다수 있었습니다
나이가 젊으신 분인만큼 최대한 살릴 수 있는 치아들은 살리고 임플란트 필요 치아들을 치료하는 방향으로 계획을 잡았습니다.
치조골이 소실 되어 있는 부분들은 뼈이식과 함께 진행 하였습니다.

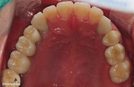
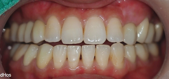
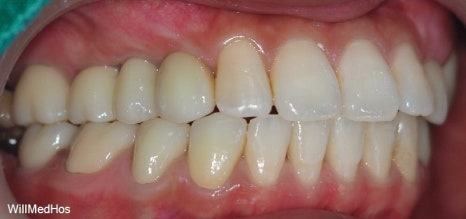
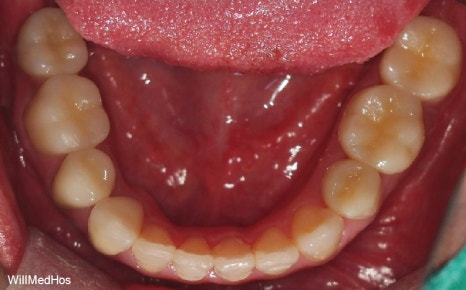
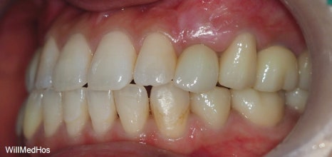
위의 사진이 최종 치료 사진 입니다. 뼈이식, 신경치료 후 크라운, 임플란트 치료를 진행 하였고
최종 기간은 10개월 정도 소요 되었습니다.


▲ 최종 완료 구강 사진
환자분은 대면이 많은 직업이라 매우 신경이 쓰이셨는데
지금은 너무 만족 하신다고 매번 관리 기간때마다 말씀 해주셔서
저희도 뿌듯할 따름 입니다.
꾸준한 정기 검진만이 건강한 치아를 유지하는 방법 입니다!
언제나 환자분의 입장에서 최선의 방법을 제시 해드리도록 하겠습니다
감사합니다.
안녕하세요 플란트 치과 입니다.
청소년기 이후로 치과를 한번도 가본적 없으시다가 처음으로 내원 해주셨는데요
처음 치과를 내원 해주시는 환자분들이 생각보다 많이 계십니다.
치과를 처음 내원 하시는 만큼 치아 상태가 좋지 않을것으로 예상이 됩니다.
먼저 구강 사진 부터 보도록 하겠습니다.
이미 충치들과 염증으로 인해 치관을 다 없어지고 잔존 뿌리들만 겨우 남아있는 상태들의 치아들
염증으로 인하여 살리기 힘든 치아들도 다수 있었습니다
나이가 젊으신 분인만큼 최대한 살릴 수 있는 치아들은 살리고 임플란트 필요 치아들을 치료하는 방향으로 계획을 잡았습니다.
치조골이 소실 되어 있는 부분들은 뼈이식과 함께 진행 하였습니다.
위의 사진이 최종 치료 사진 입니다. 뼈이식, 신경치료 후 크라운, 임플란트 치료를 진행 하였고
최종 기간은 10개월 정도 소요 되었습니다.
▲ 최종 완료 구강 사진
환자분은 대면이 많은 직업이라 매우 신경이 쓰이셨는데
지금은 너무 만족 하신다고 매번 관리 기간때마다 말씀 해주셔서
저희도 뿌듯할 따름 입니다.
꾸준한 정기 검진만이 건강한 치아를 유지하는 방법 입니다!
언제나 환자분의 입장에서 최선의 방법을 제시 해드리도록 하겠습니다
감사합니다.