
안녕하세요 플란트 치과 입니다.
6월이 시작되었습니다! 봄 장마 기간에도 건강 잘 챙기시고, 행복한 한 달 보내시길 바랍니다~
"잇몸이 패였다가 이제는 치아까지 흔들려요..."
오늘은 소개 해드릴 환자분은 심한 치은 퇴축을 갖고 계시다가 치아가 많이 흔들려서 내원 해주셨는데요
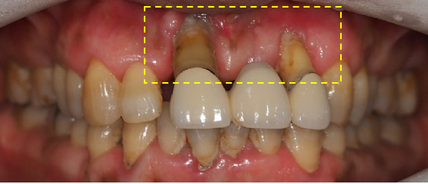
먼저 구강 사진 부터 보도록 할께요.

표시 된곳을 보시면 심한 치은이 심하게 퇴축되어 잇몸의 뿌리까지 노출된 상태 입니다.
치은 퇴축은 잇몸이 치아 뿌리 방향으로 하향되어 치근이 드러나는 현상 인데요.
치아 뿐만 아니라 주변뼈와 조직에도 영향 주게 됩니다.
- 오랜 보철 사용 및 강하고 잘못된 방향의 칫솔질 및 관리
- 치석과 치태 쌓여 치주질환 발생-> 치주염과 같은 치주질환 으로 인해 치조골 흡수
- 이갈이나 악무는 습관 등-부정교합으로 인해 치아에 가해지는 힘이 불균형
=> 치주조직이 약화 되면서 발생되며 치주조직은 교합력에 영향을 많이 받기 때문에 한꺼번에 많은 힘이 전달될 때 약해지면서 하향되게 됩니다.
▶초기 -> sc로 치석 제거 하거하여 염증 완화
▶ 퇴축 중기-> 치은 활택술이나 / 치은 연하 소파술로 치아 뿌리 표면에 쌓인 치석과 염증 조직 제거
▶퇴축 말기-> 잇몸뼈 손상 정도에 따라 뼈이식 임플란트 고려
이미 잇몸이 퇴축 되었는데 치료 가능 한가요?
이미 퇴축이 많이 진행이 되었다면 다시 잇몸을 재생 시키는건 불가능 합니다 근본적인 원인을 찾아 치료 해야 합니다 !
다시 환자분의 사진을 한번 보도록 하겠습니다.


상악 #15 12 11 21 치아들은 임플란트 치료를 진행했습니다.
하악 표기된 치아들은 살리는 방향으로 해서 신경치료 후 크라운 보철 치료함께 하였습니다.

임플란트 치료를 진행 하려고 하는 부분들을 파노라마 상으로 보게 되면
잇몸뼈들이 다 녹아 패여 있는 모습들을 볼 수 있는데요 뼈이식과 함께 진행 하였습니다.
임플란트가 제대로 식립되려고 하면 치아를 제대로 지지하는 잇몸뼈처럼
임플란트도 제대로 지지 가능한 잇몸뼈가 필요합니다.
뼈이식 이후 잇몸뼈가 제대로 결합될때까지 길게는 6개월 이상 보통은 2~3개월 소요됩니다.
이 환자분은 상악의 임플란트 뼈이식 이후 최종 보철까지는 4개월 정도 소요 되었습니다.

최종 치료 완료 파노라마 사진 입니다.
위의 사진과 비교 하였을때 뼈이식으로 잇몸이 채워진 부분들도 확인 할 수 있습니다.

앞니 보철이다 보니 심미적인 부분들도 놓칠수 없는데요.
쉐이드 가이드(치아의 색상과 형태 나열한 판 라고 생각 하시면 됩니다.) 를 이용하여
주변이의 색상과 형태도 맞춰 봅니다.

pmma 라는 최종 보철 전의 수정이 가능한 보철을 임시로
사용해보며 최종 보철을 디자인하게 됩니다.

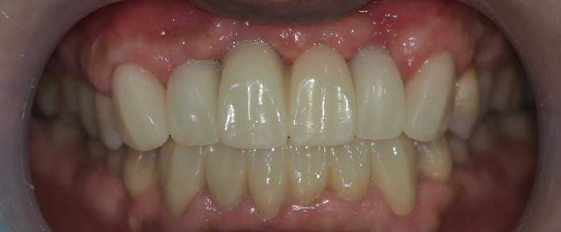
최종 보철 사진입니다.
위의 핑크 레진 부분은 치아가 너무 길어 보이지 않게 환자분의 잇몸에 맞춰 제작 되었습니다.
육안으로 보면 티가 이 사진 보다 많이 나지 않습니다!

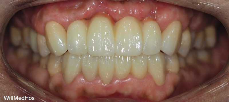
최종으로 치료 마무리된 환자분의 모습입니다.
전체 치료 소요 기간은 총 6개월 되었습니다.
환자분께서는 너무 만족 한다며 원장님께 매번 감사하다고 말씀 해주시는데요.
저희도 환자분의 자신있는 미소와 말씀들을 보고 들으니 감사할따름입니다
치료 기간 동안 환자분들과 끊임 없는 대화로 만족 스러운 결과를 얻기 위해 노력 하고 있습니다.
언제나 환자분들이 만족 할 수 있는 결과를 얻을 수 있도록 최선의 방법을 제시해드리도록 하겠습니다
긴글 읽어 주셔서 감사합니다.
안녕하세요 플란트 치과 입니다.
6월이 시작되었습니다! 봄 장마 기간에도 건강 잘 챙기시고, 행복한 한 달 보내시길 바랍니다~
"잇몸이 패였다가 이제는 치아까지 흔들려요..."
오늘은 소개 해드릴 환자분은 심한 치은 퇴축을 갖고 계시다가 치아가 많이 흔들려서 내원 해주셨는데요
먼저 구강 사진 부터 보도록 할께요.
표시 된곳을 보시면 심한 치은이 심하게 퇴축되어 잇몸의 뿌리까지 노출된 상태 입니다.
치은 퇴축은 잇몸이 치아 뿌리 방향으로 하향되어 치근이 드러나는 현상 인데요.
치아 뿐만 아니라 주변뼈와 조직에도 영향 주게 됩니다.
왜 발생 하는 것일까요?
- 오랜 보철 사용 및 강하고 잘못된 방향의 칫솔질 및 관리
- 치석과 치태 쌓여 치주질환 발생-> 치주염과 같은 치주질환 으로 인해 치조골 흡수
- 이갈이나 악무는 습관 등-부정교합으로 인해 치아에 가해지는 힘이 불균형
=> 치주조직이 약화 되면서 발생되며 치주조직은 교합력에 영향을 많이 받기 때문에 한꺼번에 많은 힘이 전달될 때 약해지면서 하향되게 됩니다.
예방법 및 치료방법은..?
▶초기 -> sc로 치석 제거 하거하여 염증 완화
▶ 퇴축 중기-> 치은 활택술이나 / 치은 연하 소파술로 치아 뿌리 표면에 쌓인 치석과 염증 조직 제거
▶퇴축 말기-> 잇몸뼈 손상 정도에 따라 뼈이식 임플란트 고려
이미 잇몸이 퇴축 되었는데 치료 가능 한가요?
이미 퇴축이 많이 진행이 되었다면 다시 잇몸을 재생 시키는건 불가능 합니다 근본적인 원인을 찾아 치료 해야 합니다 !
다시 환자분의 사진을 한번 보도록 하겠습니다.
상악 #15 12 11 21 치아들은 임플란트 치료를 진행했습니다.
하악 표기된 치아들은 살리는 방향으로 해서 신경치료 후 크라운 보철 치료함께 하였습니다.
임플란트 치료를 진행 하려고 하는 부분들을 파노라마 상으로 보게 되면
잇몸뼈들이 다 녹아 패여 있는 모습들을 볼 수 있는데요 뼈이식과 함께 진행 하였습니다.
임플란트가 제대로 식립되려고 하면 치아를 제대로 지지하는 잇몸뼈처럼
임플란트도 제대로 지지 가능한 잇몸뼈가 필요합니다.
뼈이식 이후 잇몸뼈가 제대로 결합될때까지 길게는 6개월 이상 보통은 2~3개월 소요됩니다.
이 환자분은 상악의 임플란트 뼈이식 이후 최종 보철까지는 4개월 정도 소요 되었습니다.
최종 치료 완료 파노라마 사진 입니다.
위의 사진과 비교 하였을때 뼈이식으로 잇몸이 채워진 부분들도 확인 할 수 있습니다.
앞니 보철이다 보니 심미적인 부분들도 놓칠수 없는데요.
쉐이드 가이드(치아의 색상과 형태 나열한 판 라고 생각 하시면 됩니다.) 를 이용하여
주변이의 색상과 형태도 맞춰 봅니다.
pmma 라는 최종 보철 전의 수정이 가능한 보철을 임시로
사용해보며 최종 보철을 디자인하게 됩니다.
최종 보철 사진입니다.
위의 핑크 레진 부분은 치아가 너무 길어 보이지 않게 환자분의 잇몸에 맞춰 제작 되었습니다.
육안으로 보면 티가 이 사진 보다 많이 나지 않습니다!
최종으로 치료 마무리된 환자분의 모습입니다.
전체 치료 소요 기간은 총 6개월 되었습니다.
환자분께서는 너무 만족 한다며 원장님께 매번 감사하다고 말씀 해주시는데요.
저희도 환자분의 자신있는 미소와 말씀들을 보고 들으니 감사할따름입니다
치료 기간 동안 환자분들과 끊임 없는 대화로 만족 스러운 결과를 얻기 위해 노력 하고 있습니다.
언제나 환자분들이 만족 할 수 있는 결과를 얻을 수 있도록 최선의 방법을 제시해드리도록 하겠습니다
긴글 읽어 주셔서 감사합니다.