
안녕하세요~ 플란트 가족 여러분^^
오늘 소개해 드릴 환자분은 앞니가 앞으로 뻗쳐진 것이 부끄러워
웃을 때도 환하게 웃지 못하시고 손으로 가리느라 스트레스가 이만저만 아니셨다는 중년 여성분이십니다.
하지만, 이보다 더 큰 문제는 뻐드러진 치아 때문에 잠을 잘 때에도 입술이 벌어져
구강 내 건조도 더욱 심해져 구취까지 난다고 하셨습니다.
이 상태를 개선해 보고 싶지만, 직장 생활을 하신다고 시간적 여유가 없어서 미루고 미루다가
잠깐의 휴식 시간을 가지면서 앞으로 뻗어 나온 앞니를 치료해 보시겠다는 결심을 하시고 본원에 찾아와 주셨습니다.
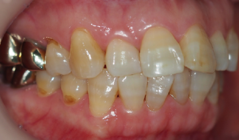
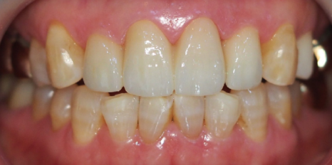
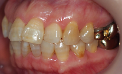
🔻초진 구강 사진부터 보여 드리겠습니다.


큰 대문니 두 개가 꽤 많이 뻐드러진 걸 확인하실 수 있는데
환자분은 하악의 앞니도 돌출 정도와 치아끼리 겹침이 다른 분보다 심한 편에 속하고
무엇보다 치아 뿌리를 싸고 있는 치조골 자체가 돌출된 상태라 환자분이 생각했던 것과
치료 결과가 다를 수 있었습니다.
달라질 수 있는 결과에 대해서 본격적인 진료에 들어가기 전 상담을 통해서
충분히 설명을 해드렸고, 가장 이상적인 방법으로 심미보철을 진행해 드리기로 하였답니다.
심미보철은 앞니의 보철을 일컫는 말이랍니다.

▲ 정리하기 전 ▲정리한 후
플란트치과는 개인에게 알맞고 가장 좋은 심미보철을 만들어 드리기 위해서
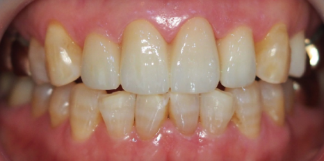
최종 보철까지 어느 정도의 기간이 소요되기 때문에 pmma라는 임시 치아를 사용하게 되는데요.
임시치아는 색상 조절은 되지 않지만,
붙이고 깍는 것이 정말 좋아서 형태를 조정하는 것이 얼마든지 가능하답니다.
위 사진은 두 달여 동안 사용하신 pmma입니다.
이 기간동안 환자분과 끊임없는 대화를 통해서 더 나은 모양을 만들어 드리고 있답니다.
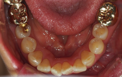
또한, 상악의 앞니에 보철을 넣기 위해서 하악의 삐뚤빼뚤한 부분은 삭제를 통해서 어느 정도 정리를 했답니다.
모서리 부위가 전보다 정리된 것이 느껴지실까요?

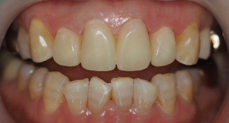
드디어 마무리한 최종 보철이 장착된 상태입니다.
환자분의 치주 상태를 고려해서 앞니 4개의 치아를 하나로 묶었습니다.
정말 사소한 디테일 하나하나까지 환자분과 소통을 통해 결정하였습니다.
치료가 진행되는 동안 환자분과 끊임없는 대화를 통해서 만족스러운 결과를 얻을 수 있도록 노력하고 있는데요.
진료를 받으신 환자분께서도 앞니가 가지런해지니 이제 웃을 때도
스트레스 없이 웃을 수 있겠다고 하시며 좋아하셨습니다.
언제나 올바른 진단과 치료로 여러분들의 치아 건강을 책임지는 플란트는
환자분의 입장에서 언제나 만족할 수 있는 방법을 제시해 드리도록 하겠습니다!
안녕하세요~ 플란트 가족 여러분^^
오늘 소개해 드릴 환자분은 앞니가 앞으로 뻗쳐진 것이 부끄러워
웃을 때도 환하게 웃지 못하시고 손으로 가리느라 스트레스가 이만저만 아니셨다는 중년 여성분이십니다.
하지만, 이보다 더 큰 문제는 뻐드러진 치아 때문에 잠을 잘 때에도 입술이 벌어져
구강 내 건조도 더욱 심해져 구취까지 난다고 하셨습니다.
이 상태를 개선해 보고 싶지만, 직장 생활을 하신다고 시간적 여유가 없어서 미루고 미루다가
잠깐의 휴식 시간을 가지면서 앞으로 뻗어 나온 앞니를 치료해 보시겠다는 결심을 하시고 본원에 찾아와 주셨습니다.
🔻초진 구강 사진부터 보여 드리겠습니다.
큰 대문니 두 개가 꽤 많이 뻐드러진 걸 확인하실 수 있는데
환자분은 하악의 앞니도 돌출 정도와 치아끼리 겹침이 다른 분보다 심한 편에 속하고
무엇보다 치아 뿌리를 싸고 있는 치조골 자체가 돌출된 상태라 환자분이 생각했던 것과
치료 결과가 다를 수 있었습니다.
달라질 수 있는 결과에 대해서 본격적인 진료에 들어가기 전 상담을 통해서
충분히 설명을 해드렸고, 가장 이상적인 방법으로 심미보철을 진행해 드리기로 하였답니다.
심미보철은 앞니의 보철을 일컫는 말이랍니다.
▲ 정리하기 전 ▲정리한 후
플란트치과는 개인에게 알맞고 가장 좋은 심미보철을 만들어 드리기 위해서
최종 보철까지 어느 정도의 기간이 소요되기 때문에 pmma라는 임시 치아를 사용하게 되는데요.
임시치아는 색상 조절은 되지 않지만,
붙이고 깍는 것이 정말 좋아서 형태를 조정하는 것이 얼마든지 가능하답니다.
위 사진은 두 달여 동안 사용하신 pmma입니다.
이 기간동안 환자분과 끊임없는 대화를 통해서 더 나은 모양을 만들어 드리고 있답니다.
또한, 상악의 앞니에 보철을 넣기 위해서 하악의 삐뚤빼뚤한 부분은 삭제를 통해서 어느 정도 정리를 했답니다.
모서리 부위가 전보다 정리된 것이 느껴지실까요?
드디어 마무리한 최종 보철이 장착된 상태입니다.
환자분의 치주 상태를 고려해서 앞니 4개의 치아를 하나로 묶었습니다.
정말 사소한 디테일 하나하나까지 환자분과 소통을 통해 결정하였습니다.
치료가 진행되는 동안 환자분과 끊임없는 대화를 통해서 만족스러운 결과를 얻을 수 있도록 노력하고 있는데요.
진료를 받으신 환자분께서도 앞니가 가지런해지니 이제 웃을 때도
스트레스 없이 웃을 수 있겠다고 하시며 좋아하셨습니다.
언제나 올바른 진단과 치료로 여러분들의 치아 건강을 책임지는 플란트는
환자분의 입장에서 언제나 만족할 수 있는 방법을 제시해 드리도록 하겠습니다!