
유리치은이식술에 대해서 들어 보셨나요?
뼈이식 이런 말들은 많이 들어 보셨지만 잇몸이식? 많이 생소하실 거라 생각이 됩니다.
오늘은 유리치은이식술에 대해 말씀드릴까 합니다~
| 유리치은이식술 이란? (FGG)
FGG (Free ginggival graft)
입천장의 단단한 잇몸 부분(유리 치은 또는 부착 치은)을 다른 잇몸으로 이식하는 시술
본래 치아가 빠지게 되면 비각화 치은 (말랑한 잇몸 조직)이 많아지게 됩니다.
단단한 잇몸이 없는 상태에서 임플란트 식립하고 크라운을 하게 되면
점막들만 있기에 음식물이나 세균 침투가 쉬운 상태가 됩니다.
=> 결과적으로는 임플란트의 수명도 줄어들게 됩니다.!
| 임플란트 시에 치은이식술이 필요한 이유는? (필요한 케이스의 경우)
- 단단한 잇몸은 세균이나 음식물이나 잔사가 잇몸 사이로 잘 안 들어가게 되며 방어막 역할을 하게 됩니다.
임플란트가 제대로 식립되기 위해서 뼈이식이 필요하듯이 임플란트가 제대로 잘 관리되고 유지되기 위해서 단단한 잇몸도 중요합니다.
(이 유리 치은은 임플란트를 하게 될 때 이식을 하게 되면
잇몸이 만들어지겠지만 자연치아와는 다르게 치아 표면에 완전히 연결되지는 않는다는 점도 있습니다)
앞서 치은 이식술에 대해 설명드린 이유는 오늘 환자분 치료 케이스 때문인데요
오늘 소개 드릴 환자분은 교정 완료 후 다른 치과에서 임플란트 치료를 하셨는데
골 유착 실패로 인해 임플란트가 제대로 식립되지 않았다고 알고 계신 상태로
임플란트 상담 원하셔서 내원해 주셨습니다.

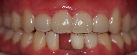
▲초진 구강 사진 ▲초진 파노라마사진
#41 치아는 원래 없으신 상태로#42 치아는 픽스쳐까지 있는 상태로 오셨습니다.
(투명한 장치는 교정 이후 투명 유지 장치입니다.)

#41 치아는 임플란트를 하시고 위에 말씀드린 것처럼 골 유착 실패로 제거 후 내원해 주셨습니다.
#31번 치아는 임플란트 치아였으나 예후가 좋지 않아 제거 후
#41 31 임플란트를 심을 치료 계획을 가졌으나

노란 선을 보시면 잇몸이 다른 부분들에 비해 심하게 꺼져 있다는 것을 확인할 수 있는데요
기본적으로 잇몸살과 뼈가 제일 약한 부위가 앞니이기 때문에 쉽게 잇몸이 내려앉을 수도 있습니다.
심을 잇몸뼈도 없었을뿐더러 양옆의 치아들도 예후가 좋지 않았기에
# 42 43 발치 이후에 이 치아들 쪽에 심고 브릿지로 연결하였습니다.

▲ 최종 완료 파노라마 사진
이 환자분은 원래도 앞니 쪽에 잇몸뼈가 부족한 상태였긴 했지만
교정 이후 치아의 이동으로 인해 잇몸이 약해서 더 퇴축되기도 했었습니다
이분은 잇몸과 입술 연결되는 구강 전정의 짧으며 힘도 강하신 편 이였고
구강 전정이 짧게 되면 세균이나 음식물이나 잔사가 잇몸 사이로 잘 들어가게 되어 추후에 문제가 발생될
가능성이 있기에 임플란트와 뼈이식을 하기 전 앞서 말씀드린 FGG 치료를 진행하였습니다.
구강전정 이란?
- 잇몸과 입술이 연결되는 사이의 내부 공간


▲ FGG 완료 후 구강 사진
위의 사진은 잇몸 이식이 완료된 후 회복된 상태입니다
색상의 차이는 다른 부분의 조직이기 때문입니다!

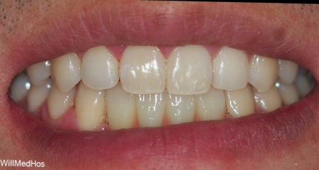
▲최종 구강 사진
이렇게 최종적으로 치료 소요 기간은 8개월 정도 소요되었습니다.
환자분의 협조도 같이 이루어졌기에 치료가 잘 마무리 될 수 있었습니다.
유리치은이식술에 대해서 들어 보셨나요?
뼈이식 이런 말들은 많이 들어 보셨지만 잇몸이식? 많이 생소하실 거라 생각이 됩니다.
오늘은 유리치은이식술에 대해 말씀드릴까 합니다~
| 유리치은이식술 이란? (FGG)
FGG (Free ginggival graft)
입천장의 단단한 잇몸 부분(유리 치은 또는 부착 치은)을 다른 잇몸으로 이식하는 시술
본래 치아가 빠지게 되면 비각화 치은 (말랑한 잇몸 조직)이 많아지게 됩니다.
단단한 잇몸이 없는 상태에서 임플란트 식립하고 크라운을 하게 되면
점막들만 있기에 음식물이나 세균 침투가 쉬운 상태가 됩니다.
=> 결과적으로는 임플란트의 수명도 줄어들게 됩니다.!
| 임플란트 시에 치은이식술이 필요한 이유는? (필요한 케이스의 경우)
- 단단한 잇몸은 세균이나 음식물이나 잔사가 잇몸 사이로 잘 안 들어가게 되며 방어막 역할을 하게 됩니다.
임플란트가 제대로 식립되기 위해서 뼈이식이 필요하듯이 임플란트가 제대로 잘 관리되고 유지되기 위해서 단단한 잇몸도 중요합니다.
(이 유리 치은은 임플란트를 하게 될 때 이식을 하게 되면
잇몸이 만들어지겠지만 자연치아와는 다르게 치아 표면에 완전히 연결되지는 않는다는 점도 있습니다)
앞서 치은 이식술에 대해 설명드린 이유는 오늘 환자분 치료 케이스 때문인데요
오늘 소개 드릴 환자분은 교정 완료 후 다른 치과에서 임플란트 치료를 하셨는데
골 유착 실패로 인해 임플란트가 제대로 식립되지 않았다고 알고 계신 상태로
임플란트 상담 원하셔서 내원해 주셨습니다.
▲초진 구강 사진 ▲초진 파노라마사진
#41 치아는 원래 없으신 상태로#42 치아는 픽스쳐까지 있는 상태로 오셨습니다.
(투명한 장치는 교정 이후 투명 유지 장치입니다.)
#41 치아는 임플란트를 하시고 위에 말씀드린 것처럼 골 유착 실패로 제거 후 내원해 주셨습니다.
#31번 치아는 임플란트 치아였으나 예후가 좋지 않아 제거 후
#41 31 임플란트를 심을 치료 계획을 가졌으나
노란 선을 보시면 잇몸이 다른 부분들에 비해 심하게 꺼져 있다는 것을 확인할 수 있는데요
기본적으로 잇몸살과 뼈가 제일 약한 부위가 앞니이기 때문에 쉽게 잇몸이 내려앉을 수도 있습니다.
심을 잇몸뼈도 없었을뿐더러 양옆의 치아들도 예후가 좋지 않았기에
# 42 43 발치 이후에 이 치아들 쪽에 심고 브릿지로 연결하였습니다.
▲ 최종 완료 파노라마 사진
이 환자분은 원래도 앞니 쪽에 잇몸뼈가 부족한 상태였긴 했지만
교정 이후 치아의 이동으로 인해 잇몸이 약해서 더 퇴축되기도 했었습니다
이분은 잇몸과 입술 연결되는 구강 전정의 짧으며 힘도 강하신 편 이였고
구강 전정이 짧게 되면 세균이나 음식물이나 잔사가 잇몸 사이로 잘 들어가게 되어 추후에 문제가 발생될
가능성이 있기에 임플란트와 뼈이식을 하기 전 앞서 말씀드린 FGG 치료를 진행하였습니다.
구강전정 이란?
- 잇몸과 입술이 연결되는 사이의 내부 공간
▲ FGG 완료 후 구강 사진
위의 사진은 잇몸 이식이 완료된 후 회복된 상태입니다
색상의 차이는 다른 부분의 조직이기 때문입니다!
▲최종 구강 사진
이렇게 최종적으로 치료 소요 기간은 8개월 정도 소요되었습니다.
환자분의 협조도 같이 이루어졌기에 치료가 잘 마무리 될 수 있었습니다.