
안녕하세요 플란트 치과 입니다.
바람이 매섭게 부는 11월 중순 입니다
건강관리는 잘 하고 계신가요? 🍂
오늘은 잇몸 패임으로 앞 쪽 아랫니 통증과 함께 치아의 흔들림이 전보다 많이 느껴져 내원해주신 환자분입니다.
먼저 처음 구강 사진 부터 보도록 하겠습니다.

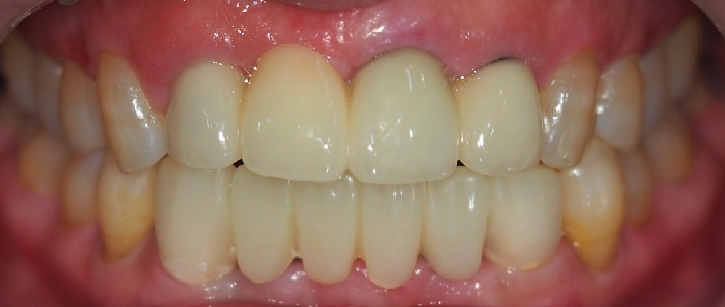
▲ 초진 구강 사진
환자분은 표시된 부분의 치아의 통증을 느끼셔서 내원 하셨습니다
잇몸이 패여 '치주염' 으로 인해 잇몸이 다 녹아내려 '치경부 마모증'까지도 같이 있으신것을
확인 할 수 있었습니다.
치주질환은 치아 흔들림의 가장 흔한 원인 이며
치주염은 잇몸의 뼈와 잇몸 조직을 녹이는 심각한 상태
◎ 간단하게 치주질환 예방법에 대해 알아볼까요?
▲ 식사 후나 취침 전에 하루에 꼭 2번 이상 양치질을 제대로 하여 치태나 치석이 만들어지는 세균들을 없애주기
▲ 치실과 치간 칫솔을 사용하여 치아 사이 관리
▲ 정기적인 검진을 통한 스케일링
치주질환은 발생 되기전에 예방 하는것이 중요합니다.★
육안으로는 봤을때 단순히 잇몸이 패였는데 레진치료로 끝나는거 아닌가 라고 생각 하실 수 있지만
이 환자분은 치주염을 있어 치주상태도 매우 좋지 않아 치아의 심한 흔들림 까지도 있었습니다.

▲ 초진 파노라마
노란색으로 표시 된 선을 보시면 치주가 좋지 않아 전체적으로 잇몸이 내려 앉았지만
특히 앞니 부분에 잇몸이 많이 패여 있는것을 보실 수 있습니다.

▲ 초진 파노라마
# 42 41 #31 32 치아는 흔들림이 심해 발치 후 임플란트 치료와 #42 41 치아쪽에는
뼈이식도 함께 진행 하였습니다.
#43 33 치아는 신경치료 이후 크라운치료로 마무리 하였습니다.

앞니는 치료도 중요하지만 심미적으로도 중요하기에 위 사진처럼
앞전에 말씀드린 '쉐이드 가이드' (치아 색상 측정기) 를 이용하여 주변의 치아 색상을 맞춰보고

▲ PMMA 착용 사진
위의 사진과 같이 중간에 PMMA이라는 임시 치아를 끼고 사용해보며
주변의 치아의 모양에 맞게 모양과 형태를 조절해본 후 최종 보철을 장착 하게 됩니다.

▲ 최종 보철 장착 사진
이렇게 전치부 아래 치아 쪽에 최종 보철을 장착한 모습입니다.
최종 치료 까지는 24. 06.29 ~09.30 총 3개월 소요 되었습니다.
치아는 아프다고 느낀 후 오시기 보다는 정기적으로 검진 받으시길 권장 드립니다.
긴글 읽어 주셔서 감사합니다.
항상 환자분들의 입장에서 치료 받으실 수 있도록 노력 하는 플란트 되겠습니다 : )
안녕하세요 플란트 치과 입니다.
바람이 매섭게 부는 11월 중순 입니다
건강관리는 잘 하고 계신가요? 🍂
오늘은 잇몸 패임으로 앞 쪽 아랫니 통증과 함께 치아의 흔들림이 전보다 많이 느껴져 내원해주신 환자분입니다.
먼저 처음 구강 사진 부터 보도록 하겠습니다.
▲ 초진 구강 사진
환자분은 표시된 부분의 치아의 통증을 느끼셔서 내원 하셨습니다
잇몸이 패여 '치주염' 으로 인해 잇몸이 다 녹아내려 '치경부 마모증'까지도 같이 있으신것을
확인 할 수 있었습니다.
치주질환은 치아 흔들림의 가장 흔한 원인 이며
치주염은 잇몸의 뼈와 잇몸 조직을 녹이는 심각한 상태
◎ 간단하게 치주질환 예방법에 대해 알아볼까요?
▲ 식사 후나 취침 전에 하루에 꼭 2번 이상 양치질을 제대로 하여 치태나 치석이 만들어지는 세균들을 없애주기
▲ 치실과 치간 칫솔을 사용하여 치아 사이 관리
▲ 정기적인 검진을 통한 스케일링
치주질환은 발생 되기전에 예방 하는것이 중요합니다.★
육안으로는 봤을때 단순히 잇몸이 패였는데 레진치료로 끝나는거 아닌가 라고 생각 하실 수 있지만
이 환자분은 치주염을 있어 치주상태도 매우 좋지 않아 치아의 심한 흔들림 까지도 있었습니다.
▲ 초진 파노라마
노란색으로 표시 된 선을 보시면 치주가 좋지 않아 전체적으로 잇몸이 내려 앉았지만
특히 앞니 부분에 잇몸이 많이 패여 있는것을 보실 수 있습니다.
▲ 초진 파노라마
# 42 41 #31 32 치아는 흔들림이 심해 발치 후 임플란트 치료와 #42 41 치아쪽에는
뼈이식도 함께 진행 하였습니다.
#43 33 치아는 신경치료 이후 크라운치료로 마무리 하였습니다.
앞니는 치료도 중요하지만 심미적으로도 중요하기에 위 사진처럼
앞전에 말씀드린 '쉐이드 가이드' (치아 색상 측정기) 를 이용하여 주변의 치아 색상을 맞춰보고
▲ PMMA 착용 사진
위의 사진과 같이 중간에 PMMA이라는 임시 치아를 끼고 사용해보며
주변의 치아의 모양에 맞게 모양과 형태를 조절해본 후 최종 보철을 장착 하게 됩니다.
▲ 최종 보철 장착 사진
이렇게 전치부 아래 치아 쪽에 최종 보철을 장착한 모습입니다.
최종 치료 까지는 24. 06.29 ~09.30 총 3개월 소요 되었습니다.
치아는 아프다고 느낀 후 오시기 보다는 정기적으로 검진 받으시길 권장 드립니다.
긴글 읽어 주셔서 감사합니다.
항상 환자분들의 입장에서 치료 받으실 수 있도록 노력 하는 플란트 되겠습니다 : )