
안녕하세요 플란트 치과입니다~!
오늘은 앞니 사이의 벌어진 공간 다이아스테마(Diastema)때문에 스트레스를 받아
내원해 주신 환자분을 소개해 드릴까 합니다.
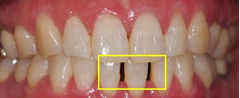
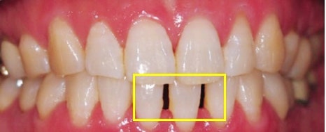
먼저 환자분의 구강 사진을 보여 드리겠습니다.

▲ 초진 구강 사진
표시된 부분을 보시면 공간이 두 개 정도 보이는 것을 확인할 수 있습니다.
이런 치아 사이의 공간을 다이아스테마(Diastema) 라고 이야기합니다.
환자분께서는 이 공간 때문에 편하게 웃는 것도 말하는 것도
많이 신경 쓰이셔서 레진으로 때우는 치료를 원하셨습니다.
다이아스테마 레진 치료는 심미적인 부분이기도 하기에 조금 까다로운 치료인데요
잘못하면 인접해 있는 치아들과의 색상이 달라 보인다든지
교합이 잘 안 맞거나, 또는 자칫하면 치아의 비율이 서로 맞지 않아 치아가 커져 뚱뚱해 보일 수도 있습니다.

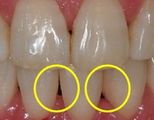
▲ 치료 완료 구강 사진
치료 완료 이후의 구강 사진입니다. 감쪽같이 공간이 메꿔진 게 보이실까요?
자연스럽게 잘 메꿔진 모습입니다.

환자분께서는 위에 동그라미로 표시된 같이 작은 틈까지도 메꿔 달라고 이야기하셨는데요
이렇게 저 틈까지 메꿔 버리게 되면 공간은 사라지겠지만 치아의 비율이 맞지 않아 오히려 커져
뚱뚱해 보일 가능성이 매우 높기에 잘 설명드린 후 치료를 마무리하였습니다.
| 앞니 레진 치료 이후 조심해야 할 부분은 어떤 것들이 있을까요?
✔ 질기고 딱딱한 음식 조심하기
원래도 질기고 단단한 음식은 치아에 무리를 주지만
특히 레진으로 수복한 앞니로 질기거나 딱딱한 음식을 씹거나 자주 먹게 되면 레진 치료한 부위가
오래 유지되지 못할 수도 있습니다.
✔ 색소가 많은 음식을 섭취 후 입 헹궈주기
색소가 많은 식품들(콜라, 카레, 커피 등 )을 섭취하게 되면 치료 부위에 쉽게 착색될 수 있기에
섭취하시더라도 늦지 않게 입을 간단히 헹궈 주시면 좋습니다.
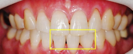
▶치료 전후 사진 비교

▲ 치료 전 ▲ 치료 후
본인 치아처럼 자연스러운 앞니의 모습을 보실 수 있습니다.
아래는 최종 보철 장착 후의 모습입니다.

▲ 최종 치료 완료 후 사진
벌어진 앞니 때문에 오랜 시간 동안 스트레스받아오셨는데 진작에 왜 안 했는지 후회된다고
밝게 웃으시며 너무 만족스럽다고 이야기하셨습니다.
환자분의 환한 미소를 되찾아 드린 거 같아 뿌듯함이 컸습니다.
과잉진료 없이 항상 환자분들의 입장에서 진료하는 플란트 되겠습니다.
매번 긴 글 읽어 주셔서 감사드립니다 : )
안녕하세요 플란트 치과입니다~!
오늘은 앞니 사이의 벌어진 공간 다이아스테마(Diastema)때문에 스트레스를 받아
내원해 주신 환자분을 소개해 드릴까 합니다.
먼저 환자분의 구강 사진을 보여 드리겠습니다.
▲ 초진 구강 사진
표시된 부분을 보시면 공간이 두 개 정도 보이는 것을 확인할 수 있습니다.
이런 치아 사이의 공간을 다이아스테마(Diastema) 라고 이야기합니다.
환자분께서는 이 공간 때문에 편하게 웃는 것도 말하는 것도
많이 신경 쓰이셔서 레진으로 때우는 치료를 원하셨습니다.
다이아스테마 레진 치료는 심미적인 부분이기도 하기에 조금 까다로운 치료인데요
잘못하면 인접해 있는 치아들과의 색상이 달라 보인다든지
교합이 잘 안 맞거나, 또는 자칫하면 치아의 비율이 서로 맞지 않아 치아가 커져 뚱뚱해 보일 수도 있습니다.
▲ 치료 완료 구강 사진
치료 완료 이후의 구강 사진입니다. 감쪽같이 공간이 메꿔진 게 보이실까요?
자연스럽게 잘 메꿔진 모습입니다.
환자분께서는 위에 동그라미로 표시된 같이 작은 틈까지도 메꿔 달라고 이야기하셨는데요
이렇게 저 틈까지 메꿔 버리게 되면 공간은 사라지겠지만 치아의 비율이 맞지 않아 오히려 커져
뚱뚱해 보일 가능성이 매우 높기에 잘 설명드린 후 치료를 마무리하였습니다.
| 앞니 레진 치료 이후 조심해야 할 부분은 어떤 것들이 있을까요?
✔ 질기고 딱딱한 음식 조심하기
원래도 질기고 단단한 음식은 치아에 무리를 주지만
특히 레진으로 수복한 앞니로 질기거나 딱딱한 음식을 씹거나 자주 먹게 되면 레진 치료한 부위가
오래 유지되지 못할 수도 있습니다.
✔ 색소가 많은 음식을 섭취 후 입 헹궈주기
색소가 많은 식품들(콜라, 카레, 커피 등 )을 섭취하게 되면 치료 부위에 쉽게 착색될 수 있기에
섭취하시더라도 늦지 않게 입을 간단히 헹궈 주시면 좋습니다.
▶치료 전후 사진 비교
▲ 치료 전 ▲ 치료 후
본인 치아처럼 자연스러운 앞니의 모습을 보실 수 있습니다.
아래는 최종 보철 장착 후의 모습입니다.
▲ 최종 치료 완료 후 사진
벌어진 앞니 때문에 오랜 시간 동안 스트레스받아오셨는데 진작에 왜 안 했는지 후회된다고
밝게 웃으시며 너무 만족스럽다고 이야기하셨습니다.
환자분의 환한 미소를 되찾아 드린 거 같아 뿌듯함이 컸습니다.
과잉진료 없이 항상 환자분들의 입장에서 진료하는 플란트 되겠습니다.
매번 긴 글 읽어 주셔서 감사드립니다 : )