
안녕하세요 플란트 치과입니다.
2024년도 3개월 밖에 남지 않았네요.
남은 시간 계획했던 모든 일들을 성취하시고 행복한 날들로 가득하길 바랍니다.
오늘은 구치부쪽 충치로 인하여 치아의 뿌리만 남아있어 임플란트 상담으로 내원해 주신 환자분의 사례에 대해 말씀드리려 해요!
만약 치아가 아프지 않다고 뿌리만 남은 채 방치하게 된다면
어떤 일이 발생하게 될까요?
| 뿌리만 남은 치아 안 아픈데 방치해도 괜찮나요?
이에 대한 대답은 NO!
뿌리만 남은 치아를 방치하게 된다면 아래와 같은 문제가 나타날 수 있습니다!
문제 1)
"남은 뿌리의 신경관과 입안의 턱뼈 사이에 세균이 들어갈 수 있는 통로"
충치가 심해져서 치관(치아의 머리 부분)이 다 썩거나 부러지게 되면 뿌리와 신경관 사이에 통로가 생겨
세균이 침입하게 됩니다. 바로 신경치료를 하거나 기둥을 세워 씌우면 괜찮아지는 경우도 있기는 하지만
치조골 보다 아래까지 썩게 되거나 하면 도저히 살릴 수 없어 발치해야 할 수도 있습니다.
* 치조골 이란*
치아를 잡아주는 볼록 한 잇몸 뼈
문제 2)
"인접치 대합치의 이동"
뿌리만 남아 있는 치아는 머리가 없기 때문에 옆의 치아들이 이동을 하게 되면서 공간도 생기고
음식물도 끼입니다. 이렇게 이동한 치아들로 인해서 치아 배열도 나빠지게 됩니다.
치아 배열이 나빠지게 되면 임플란트라던지 크라운 치료를 할 때 주변 치아에 대한 추가적인 치료가
필요하게 되며 치료 자체가 어려워집니다.
문제 3)
"잔존 치근으로 인한 물혹이나 염증"
남아있는 뿌리 (잔존 치근)를 제대로 발치하지 않아서 간혹 턱뼈 안에 큰 물혹이나 고름이 생기는 경우도
있습니다. 고름집이 커지면 간혹은 큰 감염으로 이어지기도 합니다.
⇒ 뿌리만 남아있는 치아는 구강 상의 문제를 일으킬 수도 있고 뿌리만 남은 치아는 통증이 없어도
일찍 뽑는 것이 좋습니다.
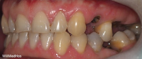
충치로 인해 치아의 머리가 없어 잔존 치근만 가지고 계신 환자분의 치료 사례를 소개 드리겠습니다.
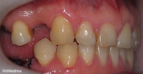
먼저 초진 구강 사진부터 보도록 하겠습니다.
▶초진 구강 사진


▲ 초진구강사진
충치로 인하여 뿌리만 남아있는 치아들과 심지어 자연 발치된 치아도 확인해 볼 수 있습니다.
파노라마 사진으로 한번 살펴보도록 하겠습니다.

▲ 초진 파노라마 사진
표시된 곳들을 보시면 앞서 말씀드린 것과 같이 잔존 치근들만 남아있는 모습입니다.

▲ 초진 파노라마 사진
노란 선으로 표시된 부분들은 보시면 잇몸뼈가 없어서 내려앉은 모습을 확인할 수 있습니다.
픽스처를 심을 잇몸뼈가 있어야 제대로 심고 잇몸뼈와 잘 결합이 될 수 있기에
#30번대 #40번대 뼈이식부터 먼저 도와드렸습니다.

▲ 뼈이식 전 ▲ 뼈이식 후
차이가 보이실까요?
이렇게 잇몸뼈가 제대로 차오를 때까지 환자분께서는 3개월 정도 걸리셨습니다.
오른쪽 편 사진은 잇몸뼈가 만들어진 후 위에 최종 보철을 올리기 전에 중간에 커스텀 힐링을 장착한 모습입니다.
저희 플란트 치과는 획일화된 힐링을 사용하지 않고 환자분 개개인의 구강에 맞는 힐링을 제작하여
사용하고 있습니다.
*커스텀 힐링이란?*
*획일화된 기성품이 아니라 환자분들의 구강 및 잇몸 형태에 맞춰 제작한 지대주

▲치료 완료 후 파노라마 사진
이렇게 다른 구치부 치아들은 신경치료와 크라운 치료, 레진 치료
노란 박스로 표시된 치아들은 모두 임플란트 치료로 도와드렸습니다.
치료가 완료된 구강 사진을 보도록 하겠습니다.



▲치료 완료 후 파노라마 사진
이렇게 치료 최종 치료 기간까지는 23. 8월~24. 7월에 마무리하셔서 거의 1년 정도 소요가 되었습니다.
치아는 불편하기 전에 6개월마다 정기검진받는 것이 중요한 거 아시죠?
플란트는 환자분의 입장에서 언제나 만족할 수 있는 방법을 제시해 드리도록 하겠습니다~!
긴 글 읽어주셔서 감사합니다.
제대로 먹지도 못하고
너무 불편하면서도 부끄럽고 그랬었는데
지금은 너무 만족합니다.
항상 늦은 시간에 진료받게 되는데
그때마다 친절하게 꼼꼼히
해주셔서 감사드립니다.
-환자분-
안녕하세요 플란트 치과입니다.
2024년도 3개월 밖에 남지 않았네요.
남은 시간 계획했던 모든 일들을 성취하시고 행복한 날들로 가득하길 바랍니다.
오늘은 구치부쪽 충치로 인하여 치아의 뿌리만 남아있어 임플란트 상담으로 내원해 주신 환자분의 사례에 대해 말씀드리려 해요!
만약 치아가 아프지 않다고 뿌리만 남은 채 방치하게 된다면
어떤 일이 발생하게 될까요?
| 뿌리만 남은 치아 안 아픈데 방치해도 괜찮나요?
이에 대한 대답은 NO!
뿌리만 남은 치아를 방치하게 된다면 아래와 같은 문제가 나타날 수 있습니다!
문제 1)
"남은 뿌리의 신경관과 입안의 턱뼈 사이에 세균이 들어갈 수 있는 통로"
충치가 심해져서 치관(치아의 머리 부분)이 다 썩거나 부러지게 되면 뿌리와 신경관 사이에 통로가 생겨
세균이 침입하게 됩니다. 바로 신경치료를 하거나 기둥을 세워 씌우면 괜찮아지는 경우도 있기는 하지만
치조골 보다 아래까지 썩게 되거나 하면 도저히 살릴 수 없어 발치해야 할 수도 있습니다.
* 치조골 이란*
치아를 잡아주는 볼록 한 잇몸 뼈
문제 2)
"인접치 대합치의 이동"
뿌리만 남아 있는 치아는 머리가 없기 때문에 옆의 치아들이 이동을 하게 되면서 공간도 생기고
음식물도 끼입니다. 이렇게 이동한 치아들로 인해서 치아 배열도 나빠지게 됩니다.
치아 배열이 나빠지게 되면 임플란트라던지 크라운 치료를 할 때 주변 치아에 대한 추가적인 치료가
필요하게 되며 치료 자체가 어려워집니다.
문제 3)
"잔존 치근으로 인한 물혹이나 염증"
남아있는 뿌리 (잔존 치근)를 제대로 발치하지 않아서 간혹 턱뼈 안에 큰 물혹이나 고름이 생기는 경우도
있습니다. 고름집이 커지면 간혹은 큰 감염으로 이어지기도 합니다.
⇒ 뿌리만 남아있는 치아는 구강 상의 문제를 일으킬 수도 있고 뿌리만 남은 치아는 통증이 없어도
일찍 뽑는 것이 좋습니다.
충치로 인해 치아의 머리가 없어 잔존 치근만 가지고 계신 환자분의 치료 사례를 소개 드리겠습니다.
먼저 초진 구강 사진부터 보도록 하겠습니다.
▶초진 구강 사진
▲ 초진구강사진
충치로 인하여 뿌리만 남아있는 치아들과 심지어 자연 발치된 치아도 확인해 볼 수 있습니다.
파노라마 사진으로 한번 살펴보도록 하겠습니다.
▲ 초진 파노라마 사진
표시된 곳들을 보시면 앞서 말씀드린 것과 같이 잔존 치근들만 남아있는 모습입니다.
▲ 초진 파노라마 사진
노란 선으로 표시된 부분들은 보시면 잇몸뼈가 없어서 내려앉은 모습을 확인할 수 있습니다.
픽스처를 심을 잇몸뼈가 있어야 제대로 심고 잇몸뼈와 잘 결합이 될 수 있기에
#30번대 #40번대 뼈이식부터 먼저 도와드렸습니다.
▲ 뼈이식 전 ▲ 뼈이식 후
차이가 보이실까요?
이렇게 잇몸뼈가 제대로 차오를 때까지 환자분께서는 3개월 정도 걸리셨습니다.
오른쪽 편 사진은 잇몸뼈가 만들어진 후 위에 최종 보철을 올리기 전에 중간에 커스텀 힐링을 장착한 모습입니다.
저희 플란트 치과는 획일화된 힐링을 사용하지 않고 환자분 개개인의 구강에 맞는 힐링을 제작하여
사용하고 있습니다.
*커스텀 힐링이란?*
*획일화된 기성품이 아니라 환자분들의 구강 및 잇몸 형태에 맞춰 제작한 지대주
▲치료 완료 후 파노라마 사진
이렇게 다른 구치부 치아들은 신경치료와 크라운 치료, 레진 치료
노란 박스로 표시된 치아들은 모두 임플란트 치료로 도와드렸습니다.
치료가 완료된 구강 사진을 보도록 하겠습니다.
▲치료 완료 후 파노라마 사진
이렇게 치료 최종 치료 기간까지는 23. 8월~24. 7월에 마무리하셔서 거의 1년 정도 소요가 되었습니다.
치아는 불편하기 전에 6개월마다 정기검진받는 것이 중요한 거 아시죠?
플란트는 환자분의 입장에서 언제나 만족할 수 있는 방법을 제시해 드리도록 하겠습니다~!
긴 글 읽어주셔서 감사합니다.
제대로 먹지도 못하고
너무 불편하면서도 부끄럽고 그랬었는데
지금은 너무 만족합니다.
항상 늦은 시간에 진료받게 되는데
그때마다 친절하게 꼼꼼히
해주셔서 감사드립니다.
-환자분-